Capsules d'échographie
Trucs et Astuces - Bloc à l'urgence
Truc #0 -- Sécurité avant tout!
-
Ne jamais injecter directement dans un nerf. Piquer n'est pas si grave, injecter l'est!!
-
Si disponible, favoriser les aiguilles à bloc blunt plutôt que les aiguilles tranchantes,
-
Favoriser une technique à deux personnes : une personne pour manipuler l'aiguille (vous) et une personne pour gérer les aspirations / injections / changement de seringues.
4. Toujours aspirer avant d'injecter de l'anesthésique local et si vous injectez un gros volume --> aspirer chaque 5mL.
5. Utiliser toujours les doses les plus petites possibles et individualiser votre dose max à votre patient.
6. Si vous injectez à proximité d'un vaisseau OU utilisez plus du 2/3 de la dose toxique estimée --> Vous devriez placer le patient sous moniteur cardiaque.

Aiguille à bloc
(blunt)
Aiguille 22-25g
(tranchant)
Aiguille à PL
(tranchant)
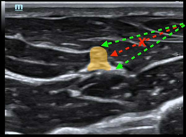
Truc #1 -- Orientation de l'aiguille
-
C'est simple, ne JAMAIS viser un nerf avec une aiguille. Toujours viser à ce que votre trajectoire passe à côté du nerf.
-
Évitera de percer le nerf si le patient fait un mouvement subit OU si vous perdez momentanément la visualisation de votre aiguille.
-
Rappel : piquer un nerf n'est pas catastrophique. Injecter directement dans un nerf peut par contre mener à des séquelles à long terme!
-
-
Votre objectif est d'amener votre aiguille au coin nerf-fascia et d'y débuter votre hydrodissection!

Truc #2 -- La clef est l'hydrodissection -- let the liquid do the work!
-
Jamais vous n'avez besoin d'amener votre aiguille directement à un nerf. Tout ce que vous avez à trouver est le plan entre deux fascias et l'ouvrir avec votre hydrodissection. Une fois effectué, l'anesthésique local ira lui-même entourer le nerf !
-
Si possible, effectuez une technique à deux personnes et utilisez du NS jusqu'à ce que vous soyez dans le bon plan.
-
Cela évitera de ''gaspiller'' de l'anesthésique local dans les tissus mous.
-
Cela optimise votre microdextérité comme vous êtes dédié à la manipulation de l'aiguille.
-
Une fois dans le bon plan, demandez à votre assistant de changer pour votre seringue d'anesthésique local... Pour votre part, statue! Vous n'avez plus besoin de mobiliser l'aiguille.
-
-
Vous n'avez PAS à entourer le nerf d'anesthésique local. Si votre injection couvre spontanément environ 50-66% du nerf, c'est parfait! En effet, l'anesthésique local suivra lui-même la gaine du nerf et se dispersera autour...
***sur les deux vidéos suivants, le nerf est dévié du côté marqueur de l'écran
Truc #3 -- Tentez d'avoir votre aiguille parallèle à la sonde
-
Plus votre aiguille est parallèle à la sonde (perpendiculaire aux ondes d'échographie). --> plus l'aiguille reflète les ondes --> plus l'aiguille est hyperéchoïque.
-
Un truc pour y arriver est de piquer à distance de la sonde! Plus vous piquez proche de la sonde, plus votre angle sera élevé!

Truc #4 -- Le mouvement du corckscrew!
-
Plus en plus d'urgence au Québec sont dotés d'aiguille à bloc nerveux. Si c'est votre cas, vous aurez remarqué que celles-ci sont BLUNT. Cette caractéristique optimise la sécurité, MAIS rend la tâche plus difficile lors du passage de fascia... par exemple : le bloc du fascia iliaca!
-
Le problème : lorsque l'aiguille va effectuer une pression sur le fascia, celui-ci va se déformer, puis éventuellement subitement lâcher, ce qui fera que votre aiguille sera positionnée beaucoup trop loin dans le muscle. Si vous injectez à cet endroit, ce sera intramusculaire et peu ou non efficace.
Exemple vidéo :
-
Voyez comment il a été difficile de passer le premier fascia. La résidente a du se prendre par deux essais et au deuxième essai, l'aiguille a presque transphyxié le sartorius en entier!
-
Le passage du fascia iliaca a pris 3 essais et, même si ceux-ci étaient plus délicats, il a fallu un repositionnement d'aiguille pour ne pas injecter en intramusculaire.
La solution :
-
Tout simplement repositionner votre aiguille en reculant progressivement jusqu'à la ramener sous le fascia en échoguidance. C'est à ce moment que vous pourrez débuter votre hydrodissection. (C'est ce qui est fait dans la vidéo ci-haute)
-
Le corkscrew! Lorsque vous débuter tout juste à effectuer une pression sur le fascia, au lieu de continuer à augmenter la pression jusqu'à ce que celui-ci lâche, vous pouvez faire tourner l'aiguille dans vos doigts, ce qui finira pas cisailler et percer le fascia sans pour autant pénétrer le muscle derrière celui-ci!