Capsule Août 2022 - Cholécystite
- William Bédard Michel
- 11 avr. 2023
- 3 min de lecture
Nouveau mois, nouvelle capsule! On retourne vers une application souvent utilisée à la salle d’urgence : la vésicule biliaire. Ce fut un mois avec plusieurs soumissions très intéressantes! Merci encore à tous ceux qui enregistrent et me font parvenir leurs échos intéressants. L’échographie de la vésicule biliaire (à l’urgence) a deux objectifs principaux : y a-t-il des lithiases pour expliquer un tableau de colique biliaire? Y a-t-il des signes de cholécystite pour expliquer les douleurs persistantes du patient?
Les lithiases :
Celles-ci ont une signature échographie ressemblant aux…os! Une ligne hyperéchogène (très blanche) suivit par un cône d’ombre.
Exception : les microlithiases. Bien qu’elles seront majoritairement hyperéchogènes, leur petite taille fera qu’il y aura absence de cône d’ombre… à moins d’avoir une agglomération de microlithiases!
La cholécystite :
Malheureusement aucun signe n’est 100% sens/spécifique. C’est pourquoi nous recherchons plusieurs signes échographiques pour confirmer notre suspicion.
Ce que nous recherchons
Lithiases ou boue biliaire (puisque les cholécystites alithiasiques sont d’une rareté à l’urgence)
Point bonus si vous objectivez une lithiase enclavée dans le col. C-A-D lorsque vous tournez le patient en décubitus latéral droit (voir quasiment ventral), la lithiase demeure positionnée dans le col.
Murphy échographique : Compression du fondus de la vésicule biliaire à l’échographie reproduit la douleur du patient.
Contrairement au murphy classique, nous n’avons pas besoin de faire respirer le patient.
Épaississement de la paroi antérieure de la vésicule biliaire de 3mm et +.
La paroi postérieure souffre souvent de rehaussement et est donc à risque de faux positif.
Attention plusieurs processus autres peuvent entrainer un épaississement de la paroi (post-prandial, grossesse, IC, IRC….)
Liquide péri-vésiculaire (de mon expérience, le plus rare à objectiver).
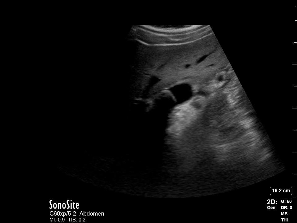
Cas1 : patient souffrant de trisomie 21 souffrant depuis plusieurs mois de douleurs abdominales secondaires à une hernie de la ligne blanche ayant été évaluée en chirurgie (n’a jamais eu d’échographie en raison du manque de collaboration)… Se présente à l’urgence en raison de douleur prolongée. Lithiase enclavée a/n du col
Cas1_Clip1 démontre la trouvaille à travers les mouvements du patient.
Cas1_Image1 et 2 démontre la lithiase en question.


Cas2 : Patient se présentant à l’urgence avec, à ses dires, une récidive d’occlusion du grêle. Cholécystite débutante (patient a par la suite eu une écho, un scan et un irm démontrant tous des signes de cholécystites débutantes ainsi que des hémoc + à Kleb).
Cas2_Clip1 démontre une microlithiase sans cône d’ombre.
Cas2_Clip2 démontre l’épaississement et l’infiltration de la paroi antérieure.
Cas3 : Patient ayant développé un choc septique progressivement durant la nuit. Cholécystite emphysémateuse.
Cas3_Clip1 démontre un épaississement diffus de la paroi de la vésicule biliaire avec un niveau de boue biliaire dans le col.
Cas3_Clip2 démontre la caractéristique emphysémateuse. Voyez ces ‘’étoiles’’ millimétriques et hyperéchogènes et bien, il s’agit de la signature des bulles d’air à l’échographie complétant donc le diagnostique de cholécystite emphysémateuse (attention nous pouvons aussi voir de l’air dans la vésicule biliaire post-ERCP).
Cas4 : Patient à l’ambulatoire avec forte douleur HCD depuis 10jours. Cholécystite avec vésicule de densité homogène au foie secondaire à la boue biliaire.
Cas4_Clip1 démontre une vésicule biliaire distendue, avec multiple calcule au niveau du col et une bile entièrement transformée en boue biliaire. En raison de l’échotexture de la vésicule, il est donc facile de tout simplement ne pas la trouver…
Cas5 : n’importe quel cas classique du Zev/cube9. Lithiase enclavée au col.
Cas5_clip1 et image 1 montre la lithiase en question, avec son cône d’ombre et une vésicule biliaire autrement normale. Patiente en décubitus latéral doit.

On se retrouve le mois prochain! Continuez à m'envoyer vos clips intéressants et n'hésitez pas à me partager vos suggestions de thème pour une capsule!
