Capsule 09-2024 : Quand l'écho change la donne
- William Bédard Michel
- 5 sept. 2024
- 2 min de lecture
Cas 1.
Avez-vous peur? J'ai eu peur! Quelle serait votre prochaine étape?
.
.
.
.
.
Donc mise en contexte... Un patient de 74a est référé à l'urgence pour masse rénale avec doute sur un thrombus de la VCI suite à un examen d'échographie fait au privé. Le patient se dit plus fatigué et mentionne que sa montre l'alerte de pouls à >160bpm au moindre effort. Sinon, 100% chill et normal devant vous dans l'aire des patients coucher. Possible thrombus de la VCI? Curieux... on regarde à l'écho!
et bien oui! Ça semble bel et bien d'un ''caillot'' à la jonction entre la VCI et l'OD. L'A4 a donc été produit par la suite pour voir s'il y avait une extension... vous aurez compris que oui! Clip directement transféré sur notre PACS, l'intensiviste a pu consulter les images de son étage et accepter directement l'admission. En passant par le scan, celui-ci confirmer un thrombus (jusqu'à preuve du contraire néoplasique à départ rénal).... Quand l'écho change la donne!
Autre exemple de thrombose VCI :
Cas 2.
Patiente se présentant pour deg, asthénie, anorexie, vomissement. Trouvaille d'une créatinine de novo à 650. Pas IECA/AINS. Un peu intense pour de la déshydration... Ma collègue à donc décidé de prendre la machine d'écho.
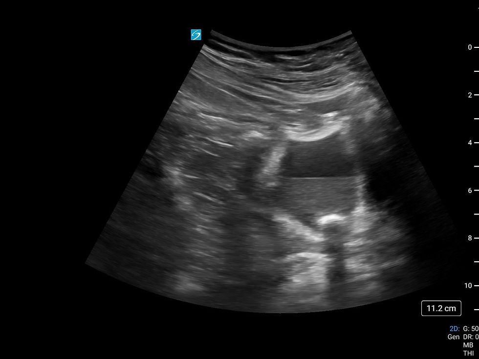
Vue à droite :
Vue à gauche :
Hydronéphrose modéré-sévère bilatérale! Et hop... uro immédiatement consulté... patient envoyé dans l'uroscan suivi de la pose rapide de JJ avec une excellente évolution! Tsé, quand l'écho change la donne!
Ancienne capsule sur l'HN : https://www.capsule-echographie.com/post/hydro-uret%C3%A8re-et-dissection-aortique-abdominale
Cas 3
Shift de cube ; vous recevez un alerte ECG STEMI du préhospitalier.
Ummmmm. Est-ce des ondes T de Winter? pas franchement typique d'ischémie. Hyperk? Allons chercher l'histoire. Le triage vous confirme que la patiente a de la douleur... a la hanche gauche depuis sa chute. Sinon Vo, Do et DEG. x 3 jours. Ouin, on n'appellera pas l'hémodynamie sur ça!
Donc, le patient arrive en salle de réa. 57 ans, aucun atcd, TA70/40, pouls 65, conscient mais faible. Votre collègue lead le show pendant quand vous êtes au patient. En raison de l'histoire de chute/hypoTA, vous effectuez un FAST... voici la vue pelvienne.
Rapidement, en examinant les reins, nous trouvons une hydronéphrose sévère et bilatérale. Le traitement d'hyperkaliémie et d'urosepsis est débuté (plus tard nous recevons le résultat du potassium : 9.4 ainsi qu'une créat >1000) ; la néphro, l'uro et les soins sont avisés. Le patient obtient ses JJ dans les heures qui suivent et a une évolution favorable.
Cas 4
Patient se présentant avec une masse au cou latéral douloureuse et évoluant x 3sem. Environ 8cm de diamètre, léger érythème. CRP <4. GB N. On draine?
Le doppler couleur est négatif pour un flow a/n de la masse.
Nope ; on ne draine pas! Le CT confirme une adénite nécrosante fistulisant dans les plans superficiels.... (plus tard confirmé secondaire à la TB ; expliquant l'abcès subaigue avec indice inflammatoire négatif...!)
J'espère que cette capsule vous a plu! Merci encore à tout ceux qui partagent leurs clips/histoires avec moi!
Petit rappel : TOUS les clips sur le site peuvent être téléchargés gratuitement et sont déjà anonymisés!
À bientôt!
Will





